近日,西安市第九医院呼吸与危重症医学科成功完成一例紧急气管镜下异物取出术,将一名误吸花生米至气道的患者从生死边缘拉回,患者次日便顺利出院,彰显了医院“健康所系,性命相托”的医者担当。
患者韩先生(化名)在国庆假期期间,不慎将一粒花生米吸入气道,随后便出现胸闷、气短等严重不适症状。情况危急,韩先生立即前往西安市第九医院急诊科求诊。急诊科医生迅速研判病情后,第一时间将患者收治至呼吸与危重症医学科进行进一步救治。

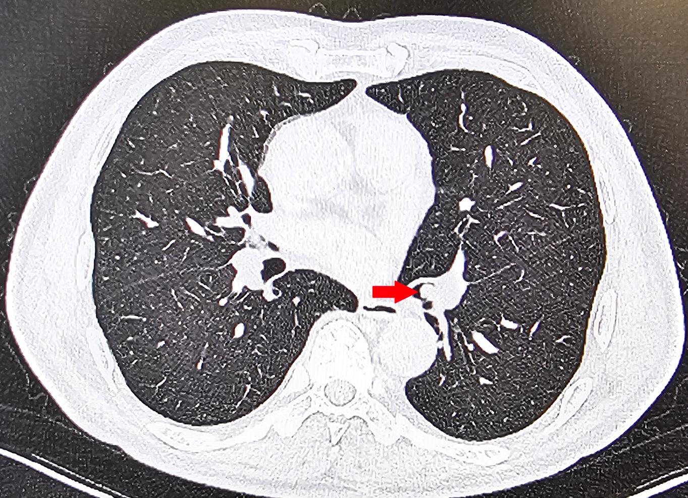
该院呼吸与危重症医学科医生团队接诊后,高度重视此病例。他们详细询问患者病史,仔细分析胸部 CT 影像,凭借专业经验,敏锐地发现患者左肺下叶支气管开口处存在可疑异物影。结合患者病史,医生判断为支气管异物。若不及时取出,异物极有可能引发肺部感染、阻塞性肺不张,甚至呼吸衰竭等严重并发症,严重威胁患者生命。

时间紧迫,每一秒都关乎患者生死。科室迅速启动应急救治预案,协调麻醉科,紧急为患者安排全麻下行电子支气管镜异物取出术。手术过程中,科室团队与麻醉医生紧密配合,凭借娴熟的气管镜操作技术,精准定位并顺利取出位于左肺下叶支气管的“罪魁祸首”——一粒完整的花生米。整个手术过程紧张有序,患者生命体征平稳。
术后,患者韩先生的胸闷、气短症状迅速得到缓解。经过短暂观察与恢复,身体状况稳定,于次日满意出院。此次成功救治,不仅及时解除了患者的痛苦,更避免了可能出现的严重继发感染,充分展现了西安市第九医院呼吸与危重症医学科在急危重症呼吸道疾病诊治方面的高效协作能力与过硬技术实力。
【小科普】气道异物预防与紧急处理
西安市第九医院呼吸与危重症医学科专家表示,气道异物作为常见的意外急症,在儿童及老年人群体中更为多见。其常见原因主要有以下几方面:
进食习惯不当:进食时说话、大笑、奔跑,或是儿童口含玩具、坚果(如花生、瓜子)玩耍、哭闹,都极易导致异物误吸。
生理机能减退:老人或吞咽功能障碍者(如中风患者),吞咽反射减弱,食物(如年糕、汤圆)容易误吸入气道。
意外因素:婴幼儿抓握细小物品(如纽扣、电池、小零件)放入口中,或成人在睡眠中吸入呕吐物、假牙脱落等情况,也可能引发气道异物。
专家表示,针对气道异物,可采取以下预防措施。针对儿童:不给 3 岁以下儿童食用坚果、果冻、整颗葡萄等易卡食物;避免儿童口含玩具、硬币等细小物品玩耍。
针对成人/老人:进食时细嚼慢咽,不边吃边说话、看电视;老人佩戴假牙需定期检查固定情况,吞咽困难者应将食物切碎、制成糊状。
通用原则:避免醉酒后进食,睡前不进食过饱。
若一旦发生异物吸入,且伴有呼吸困难,应迅速采取以下紧急处理措施:立即停止进食,保持冷静,尽量避免剧烈咳嗽。鼓励患者弯腰,并拍打其肩胛骨之间,帮助异物咳出。如出现明显呼吸困难、面色发紫,应立即使用海姆立克急救法,并第一时间送往医院。时间就是生命,及时、正确的处理可极大降低危险,为患者争取宝贵的救治时机。
编辑:齐少恒
相关热词搜索: