逛商场本是放松惬意的事儿,可文女士(化名)怎么也没想到,一次普通的购物之旅,会因为一个意外打乱所有节奏。
文女士当时正和朋友边逛边聊天,脚下突然被东西绊了一下,身体没来得及反应就失去了平衡,重重向前摔去,左膝盖结结实实地磕在了坚硬的地面上。一阵钻心的痛感传来,还伴着轻微的“咔嚓”声,文女士当场就疼得没法说话。再看受伤的膝盖,已经飞快地肿了起来,不仅没法伸直,就连试着站起来都做不到,稍微动一下,骨头缝里都像扎着针似的疼。同行的朋友赶紧上前搀扶,看着她疼得直皱眉的模样,没多犹豫就决定立刻送她去西安高新医院。
文女士自己也没料到,这一摔,竟然把膝盖摔坏了……

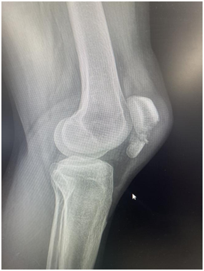
在西安高新医院骨科一病区经过检查后,医生诊断她的“髌骨”骨折了。什么是髌骨?它就是咱们常说的“膝盖盖”,你可以把它想象成膝盖前方的一块小盾牌,负责保护膝关节,并在我们伸直腿时发挥关键作用。文女士跪地的那一下,正好是这块“小盾牌”直接承受了全身的重量和撞击,导致它碎裂了。这种情况需要手术才能让碎骨块重新长好,恢复膝盖功能。
但与大家想象中“开大刀”的场景不同,西安高新医院骨科一病区杨鹏主任为她制定了一个微创手术方案。用小切口,解决大问题,杨鹏主任通过一个小切口,在X光机的“导航”下,将碎成几块的膝盖重新对拼好,然后用一套专门的内固定材料(通常是钢丝和钢钉)从内部将其牢牢固定住。这个手术的名字叫“左侧髌骨骨折闭合复位内固定术”。

简单来说,这个过程就像是,隔着皮肤拼图,医生不打开整个“盒子”,而是通过小口把里面摔碎的“拼图”(碎骨块)复位对好。再用特殊的“内置骨架”从里面把拼好的图固定住,让它能自己长牢。

手术非常成功。目前文女士的膝盖上只留下了一个小小的疤痕。术后,她已经在骨科一病区团队的指导下,开始了早期的康复锻炼。虽然完全康复还需要一段时间,但微创手术带来的小创伤和快速恢复,让她对重新正常行走充满了信心。
1.为什么跪一下,膝盖盖就会碎?
我们的膝盖盖(髌骨)是身体里最大的“籽骨”,它就像一个滑轮,负责把大腿肌肉的力量传递到小腿,让我们能顺利伸直膝盖、正常行走跑跳。正因为它位置突出且承力巨大,当猛地跪地时,全身的重量和冲击力都集中在这一点上,它就很容易像瓷碗摔在地上一样,碎裂开来。
2.怎么判断是不是髌骨骨折?
听声音、感觉:摔倒时有时能听到“咔嚓”声。
剧痛难忍: 膝盖前方疼得碰都不能碰。
无法动弹: 腿完全伸不直,也抬不起来。
迅速肿胀: 膝盖很快肿成一个“大包子”,并出现青紫。
3.髌骨骨折术后康复阶段与指导动作注意事项
早期阶段(术后1-4周:消肿止痛+被动活动)
核心目标:减轻肿胀疼痛,预防关节粘连,维持关节活动度。
指导动作:
踝泵运动(每小时10-15次,促进血液循环);
股四头肌等长收缩(每次收缩保持5-10秒,每组10-15次,每日3-4组,避免肌肉萎缩);
被动屈膝(借助CPM机或他人辅助,从30°逐步增至60°-90°,每日1-2次,动作缓慢柔和)。
注意事项:严禁主动屈膝、负重行走,避免髌骨受力;保持伤口清洁干燥,预防感染。
中期阶段(术后5-8周:主动活动+部分负重)
核心目标:增强肌肉力量,恢复主动关节活动,逐步过渡至部分负重。
指导动作:
主动屈膝训练(坐姿或仰卧位,自主屈膝至90°-120°,每组10-15次,每日3-4组);
直腿抬高训练(仰卧位,腿伸直抬高30°-45°,保持5-10秒,每组10-15次,强化股四头肌);
部分负重行走(借助拐杖或助行器,患侧负重从体重的1/4逐步增至1/2,需拍X线确认骨折愈合情况)。
注意事项:避免过度屈膝(不超过120°)和剧烈运动;负重时需保持身体平衡,防止摔倒。
后期阶段(术后9-12周:功能强化+完全负重)
核心目标:恢复关节全范围活动,增强肌肉力量和运动功能,回归正常生活。
指导动作:
全范围屈膝训练(如深蹲、弓步,逐步增加幅度,每组10-15次,每日3-4组);
抗阻训练(使用弹力带或沙袋进行股四头肌、腘绳肌抗阻收缩,每组10-15次,每日2-3组);
完全负重行走、上下楼梯(楼梯遵循“好腿先上,患腿先下”原则,逐步过渡至正常步态)。
注意事项:避免长时间屈膝、负重站立;运动前充分热身,运动后及时拉伸;定期复查X线,根据骨折愈合情况调整训练强度。
西安高新医院骨科一病区杨鹏主任提示:
如果不慎摔倒导致膝盖严重疼痛肿胀,请务必立即停止活动,用冰袋冷敷(勿直接接触皮肤),并用枕头或衣物将伤腿抬高,然后尽快到医院就诊。

编辑:齐少恒
相关热词搜索: