“抬个胳膊穿衣服要咬牙,梳头发得侧着身子找角度,夜里疼得翻来覆去睡不着……这10年,我真是被这肩周炎折磨怕了!”55岁的宋女士说起过往的经历,语气里满是辛酸。
谁也没想到,一种叫做介入治疗的方式,竟替她解决了困扰自己整整10年的“老毛病”,让她在西安大兴医院渭水园院区重新找回了活动自如的肩膀。
01 10年肩痛,却越治越绝望
10年前,宋女士的双肩关节开始莫名疼痛,起初只是偶尔酸痛,她没太在意。可随着时间推移,疼痛越来越剧烈,尤其是右肩,哪怕是简单的前屈、环转动作都变得异常艰难。
她跑遍了多家医院,检查后都被诊断为“肩周炎”。这10年来,宋女士谨遵医嘱,几乎把能试的治疗方法都试了个遍,可疼痛不仅没有缓解,反而在最近一个月加重了,严重影响了正常生活和睡眠。
“我问过好多医生,都说这病只能慢慢康复,没别的好办法。”一次次的治疗无果,让宋女士慢慢接受了“这辈子都要带着肩关节不适过日子”的现实。
02意外转机,医生揪出“隐藏病因”
2025年12月22日,被肩痛折磨得实在无法忍受的宋女士,抱着最后一丝希望,来到了西安大兴医院渭水园院区就诊。接诊的医生耐心倾听了她的痛苦经历,并没有像之前的医生那样简单归为“肩周炎”,而是敏锐地察觉到事情可能并非那么简单。
基于此,渭水园院区介入血管科的于黎明主任团队经过详细评估,建议宋女士进一步检查右肩部的磁共振和CTA,以明确肩痛的根本原因。
检查结果很快印证了医生的判断:右肩关节周围韧带水肿,右侧冈上肌肌腱损伤并局部撕裂。这才是导致她10年肩痛不止的“真凶”,并非单纯的肩周炎那么简单!
03突破性治疗,介入手术精准施策
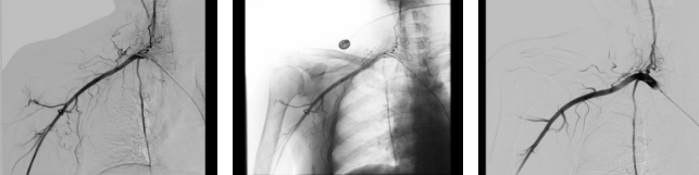
于黎明主任团队反复研究宋女士的病情,结合介入血管科的专业优势,大胆提出了“肩关节动脉栓塞术”的治疗方案。

当医生把这个方案告知宋女士时,她既惊讶又犹豫:“介入手术还能治肩痛?我之前从来没听说过。”医生耐心地为她解释:“你的肩痛与肩关节周围异常血管增生、炎症刺激有关,通过介入技术精准找到异常增生血管并进行栓塞,就能从根源上缓解疼痛,改善关节活动功能。”
在充分了解治疗原理和预期效果后,宋女士抱着试一试的心态,同意了手术。
入院三天后,于黎明主任团队为宋女士顺利实施了肩关节动脉栓塞术。整个手术创伤小、恢复快,全程没有明显不适。


术后第一天,宋女士惊喜地发现,困扰自己10年的右肩疼痛明显缓解了。更让她激动的是,以前根本无法完成的前屈、环转动作,现在竟然能轻松做到了。
“太感谢你们了!没想到10年的老毛病,在这儿这么快就治好了!”宋女士反复向介入血管科的医护人员表达谢意,“终于不用再受疼痛的折磨了,我又能像以前一样正常生活了。”
编辑:齐少恒
相关热词搜索: