1月13日,西安市中医医院脾胃病科成功完成一例内镜下逆行胰胆管造影(ERCP)联合子镜直视探查下网篮碎石取石术,为一名饱受胆结石困扰多年的患者解除了病痛,精准解除了胆总管巨大结石嵌顿可能危及患者生命安全的隐患。
患者王女士,5年前于外院因胆囊结石行腹腔镜胆囊切除术,术后反复出现阵发性上腹部疼痛,就诊于多家医院均未能得到有效的诊治。1天前患者出现上腹部剧烈疼痛,伴黄疸进行性加重,外科赵鸿主任医师详细诊察病情与查体后,结合影像学检查,考虑为胆总管多发结石,建议转脾胃病科行ERCP取石术。
脾胃病科、外科、影像科、手术麻醉科等科室进行多学科联合诊疗,专家团队对病情进行分析研判,最终决定,为避免结石进一步堵塞胆道引发梗阻性黄疸、化脓性胆管炎、重症胰腺炎等严重并发症危及生命,应尽快行ERCP取石术。

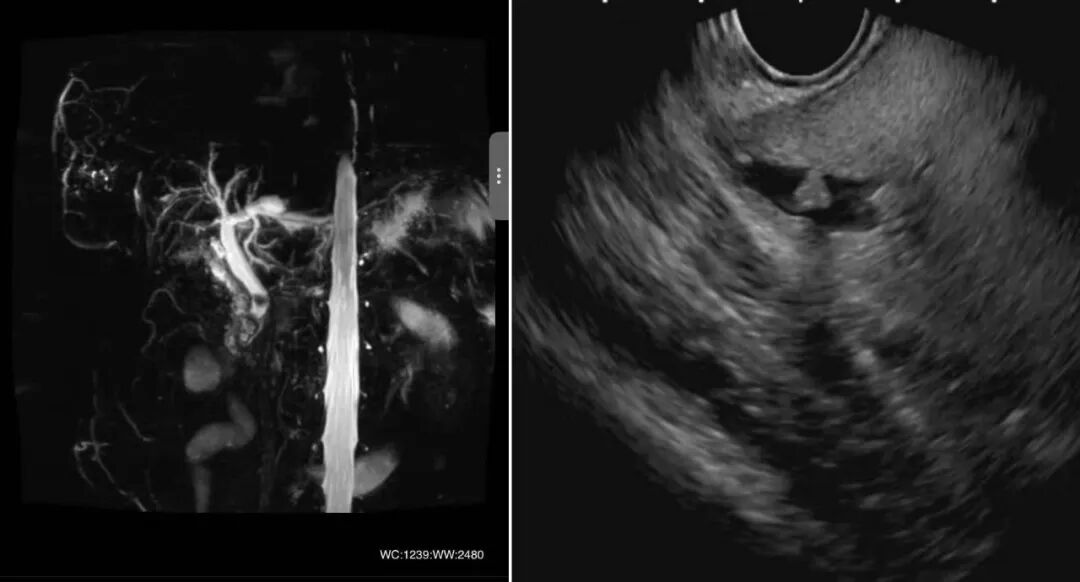
脾胃病科主任乔会侠带领团队为患者进行全面检查,术前运用超声内镜对结石位置和大小进行精确探查,为手术奠定坚实基础。

在麻醉科、介入科全力护航下,脾胃病科宋扬副主任医师施行ERCP 联合子镜直视探查下网篮碎石取石术。
术中造影发现,胆管全段可见多发直径约1.0-1.5cm不规则充盈缺损;运用子镜直视观察发现,胆管全段可见多发黄褐色巨大结石,且部分结石质地坚硬。常规取石网篮套取存在网篮嵌顿风险,宋扬选用取碎一体网篮套取结石依次取出,较大结石行碎石取出,成功疏通“生命通道”。
整个手术历时 1个小时,过程顺利,未发生出血、穿孔等并发症。术后,王阿姨的腹痛立刻得到缓解,黄疸也逐渐消退,复查相关指标均得到明显改善。
肝胆胰系统曾被称为“消化道的最后盲区”,传统的ERCP只能进入十二指肠降部,通过造影进行观察,呈现的是二维图像,无法对胆胰管内部进行直视化观察,也无法对胆胰管内部病变进行精准地诊断及治疗。ERCP联合胆胰子镜直视系统,突破了传统内镜诊疗盲区,可清晰探查胆胰管疾病,并进行精准诊断和治疗,实现了胆胰疾病诊疗直视化、高清化。
编辑:齐少恒
相关热词搜索: