90岁的魏先生在家中突然出现左侧肢体无力,不仅无法抬臂、持物,左腿也渐渐使不上劲,连走路都变得困难。家属发现后第一时间将他送往西安市第三医院急诊科。一场与时间赛跑的高龄卒中救治随即展开。
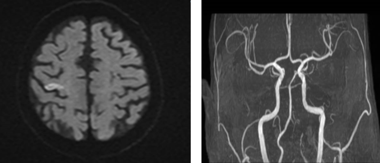
入院后,医院立即启动脑卒中绿色通道,神经内科医生全程陪同,争分夺秒完成检查。急诊头颅CT首先排除了脑出血风险,随后颅脑磁共振提示右侧额叶存在新鲜梗死灶,进一步血管评估显示患者左侧椎动脉及双侧大脑后、中动脉远端分支存在动脉粥样硬化改变,右侧大脑后动脉P3段局限性狭窄,属于典型的急性缺血性脑卒中。

超高龄患者进行静脉溶栓,出血、再灌注损伤等风险远高于普通人群,治疗决策一度面临两难。该院神经内科卒中团队没有因此放弃,在与家属充分沟通溶栓治疗的潜在获益与风险、取得知情同意后,果断为患者实施了溶栓治疗。
治疗结果令人欣慰:溶栓后仅48小时,魏先生的肢体功能便出现明显改善,能够自行下地行走,左上肢也可自主抬离床面,基本恢复了生活自理能力。
这场救治再次说明,年龄并非卒中溶栓治疗的绝对禁区!随着卒中诊疗技术的不断进步,西安市第三医院高级卒中中心持续优化绿色通道流程,努力实现“患者未到、信息先到,救治不停、流程同步”,让更多高龄卒中患者能够在黄金救治时间内获得规范化治疗。
卒中救治,时间就是大脑。请记住“FAST”原则——面部不对称、肢体无力、言语含糊,任何一个信号出现,都应立即拨打120。尤其是高龄老人,一旦突发肢体无力、言语不清等症状,切勿拖延,及时送医才能抓住救治的黄金窗口,最大限度避免遗留终身残疾。
编辑:齐少恒
相关热词搜索: