近日,陕西附大医院对此有新的研究。 复发率居高不下,治疗陷“两难” ……
一株草药的千般味道——第六届西部国际采购展览会侧记. ……
11月20日上午,西北大学教学医院签约暨揭牌仪式在西安市中心医院隆重举行。 ……
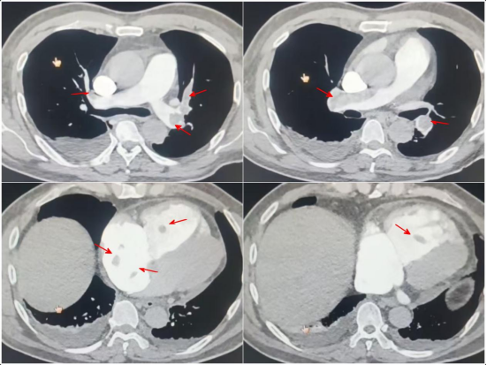
11月26日是全国心力衰竭日,在这个特殊的日子里,我们再次聚焦心衰这一21世纪最后的战场,带您认清心衰的病因与信号,构...……
近日,第12批援马拉维中国医疗队在马拉维姆祖祖中心医院,成功为一名出生13天、胎龄34周、体重1.9公斤的早产女婴实施骶...……
2025年11月20日,由西安市卫生健康委员会主办、西安市胸科医院承办的 "2025年西安市结核病医疗质量控制中心工作会议 "顺利召开。……
西安市中医医院心血管病医院获批中国躯体化症状诊疗研究中心分中心建设单位,并于2025年11月15日由中华医学会行为医学分...……
11月18日,西安市卫生健康委员会正式下发《关于公布2025年市级临床重点专科建设项目的通知》,西安市中心医院老年病科、...……
西安市中医医院心血管病医院获批中国躯体化症状诊疗研究中心分中心建设单位,并于2025年11月15日由中华医学会行为医学分...……
近日,西安市卫生健康委员会正式公布2025年市级临床重点专科建设项目名单,西安市长安区医院眼科、普通外科凭借扎实的专业基...……





