近日,东院区呼吸与危重症医学科尚东主任带领团队,成功为一位患有罕见气道肿瘤的患者实施渭北地区首例经支气管镜靶向肿瘤PTS化学消融术。该项新技术的成功应用,标志着东院区在治疗复杂中央气道狭窄方面取得突破性进展。

01气管堵塞,治疗面临严峻挑战
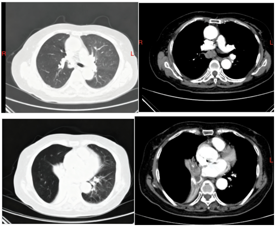
夏奶奶近两年来一直被间断的胸闷、气短、咳嗽、咳痰困扰。半月前,她的病情急剧加重,出现了痰中带血的症状,家人紧急送至东院区。呼吸与危重症医学科阎杰副主任医师接诊后,立即为夏奶奶进行胸部增强CT检查。结果提示“右肺门增大,右肺主支气管内结节状软组织密度灶,右肺下叶不张”,高度怀疑恶性肿瘤。

收治入院后,李小忠主治医师迅速评估病情,并与家属充分沟通。为明确诊断并解除气道梗阻,决定为夏奶奶进行电子支气管镜检查。术中发现,夏奶奶的右主支气管已被新生物完全堵塞,内镜无法通过。
面对挑战,尚东主任果断决策,先后运用电圈套、氩气刀介入技术进行治疗,清除了部分肿瘤,右肺上叶暴露。术后,夏奶奶的气短症状得到明显改善。然而,由于肿瘤(后经病理证实为“腺样囊性癌”)根基宽、浸润生长特性强,右中间支气管仍未被完全打通,右肺下叶持续不张。
02领先技术,让她重回顺畅呼吸
腺样囊性癌具有沿气道壁浸润生长的特性,传统的热消融技术有时难以根除。面对这一难题,呼吸与危重症医学科医疗团队经过深入讨论,决定启用一项国内领先的新技术——经支气管镜靶向肿瘤PTS化学消融治疗。
在与家属全面沟通并取得同意后,11月17日,尚东主任在王丽主管护师、李雪护师的密切配合下,成功为夏奶奶实施了PTS化学消融术。术中,尚东主任通过支气管镜将药物甲苯磺酰胺注射液(PTS)精准注射到肿瘤内部,术中即可见肿瘤组织迅速回缩、结构变得疏松,气管镜得以成功探入此前被堵塞的右中间支气管,手术过程顺利。
术后3天,复查气管镜,原本狭窄的管腔已显著好转,右肺下叶及右中叶支气管开口清晰可见,夏奶奶的呼吸变得顺畅,气短症状极大缓解,未再出现咯血,目前已顺利出院。
编辑:齐少恒
相关热词搜索:
上一篇:交大一附院多学科联动为出生1天的“膈疝宝宝”抢回生机