今年70岁的吴某3个月前出现咳嗽、咳痰、咯血,近日症状加重,并出现明显的胸闷、气短,休息后气短也不能缓解。西安医学院第一附属医院呼吸与危重症医学科医护人员采取电圈套器套切肿物,并利用冷冻探头冻取肿物,迅速为患者畅通呼吸道,打通了生命的通路。
肺部新生物,诊疗多波折
吴某入院后,医生为其做了胸部CT,检查提示肺部新生物,并且新生物侵入左主支气管,几乎将管腔堵塞。为迅速改善症状及明确诊断,呼吸内镜介入团队为吴大爷做了第一次气管镜下介入治疗,术后确诊为肺肉瘤。
吴某年事已高,心肺功能也比较差,肺部肿瘤包绕大血管并出现了转移,经外科仔细评估后,认为已无手术指征,化疗和放疗是目前最佳的选择。但在检查中,医生还发现其合并有严重的真菌感染,这种情况化疗时机无疑是不合适的,便在症状缓解后安排他暂时出院回家,继续抗真菌治疗,待感染良好控制后再住院进一步治疗。
急患者所急,争分夺秒紧急手术
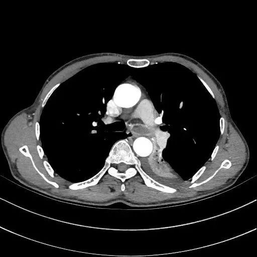
两周后,吴某如约再次入院,按照计划择期安排了支气管镜介入治疗。但这次住院后,医生发现吴大爷的气短症状又较半个月前加重了,稍微活动后就有窒息感,在吸氧3L/min的情况下,指脉氧仅仅维持在90%的临界线上。而陈晖副主任医师查房中发现,吴某呈典型的喘息貌,左肺呼吸音完全消失,并且胸部CT影像中,左主支气管已经被新生物完全堵塞,左肺下叶已完全不张。

左主支气管几乎完全堵塞

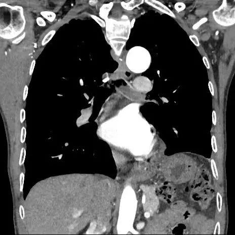
肿物向右侧侵犯
陈晖考虑,吴某的基础条件较差,并且肺功能也非常差,随时有发生呼吸衰竭甚至窒息的风险,他的情况十分紧迫!而这一天已是周五,当天的支气管镜介入治疗早已提前安排满了。如果让他按照预约第二周进行气管镜介入,周末这两天的等待中,发生不测的风险实在太大!陈晖决定,无论面对什么困难,都必须想办法克服,一定及时解决患者的紧急状况。
呼吸内镜介入团队立即联系了麻醉科韩彬副主任医师,为吴某开辟绿色通道。迅速完成相关术前检查后,呼吸介入与麻醉团队默契地放弃了中午吃饭和休息时间,在一天安排得满满当当的介入手术间隙,见缝插针为其进行了支气管镜下介入手术。

电切冷冻畅通呼吸道
术中,陈晖发现患者的左主支气管新生物已经将管腔堵塞得严严实实,距上一次住院短短两周的时间里,肿物明显迅速生长了很多。镜下直观到的情景更严峻、更不容乐观,巨大的新生物已经向右侧侵犯,随时可能将右主支气管也堵住。
而情况一旦进展到这个程度,患者所面临的就只有窒息,后果将不堪设想!在内镜直视下,陈晖用电圈套器套切肿物,并利用冷冻探头冻取肿物,迅速为患者畅通呼吸道,打通了生命的通路。
术后,吴某的胸闷气短症状明显得以缓解,在不吸氧的情况下,指脉氧也能升至98%。目前正接受进一步的治疗。
编辑:袁毛毛
相关热词搜索: 西医一附院
上一篇:西医一附院普外科步入全腹腔镜时代的成熟阶段 下一篇:西安医学院第一附属医院开启医保“一站式结算”服务窗口